Présentation du système d’avancée mandibulaire Invisalign® avec blocs occlusaux
Ces aligners transparents intégrés proposés par Align™ sont dotés de blocs pleins pour minimiser l’écrasement et conçus pour traiter les malocclusions de Classe II tout en alignant les dents.




Découvrez une nouvelle approche du traitement de la Classe II


LE SYSTÈME INVISALIGN® REDÉFINIT LE TRAITEMENT DE CLASSE II CHEZ LES PATIENTS EN COURS DE CROISSANCE
Traitement efficace.
Plus de confort1
et de rigueur2.
Mouvements dentaires prévisibles.
Avec le système d’avancée mandibulaire Invisalign avec blocs occlusaux, il n’est plus nécessaire d’avoir recours à plusieurs appareils pour combiner le traitement de la Classe II et le traitement d’alignement dentaire. Ce système, fabriqué à partir de notre matériau exclusif SmartTrack™, est prédictible et plus confortable que les appareils traditionnels1. C’est important, car le confort du patient joue un rôle crucial dans le respect des durées de port prescrites et l'obtention de résultats optimaux2.




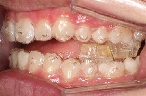
Fonctionnement des blocs occlusaux
Les blocs sont placés sur la surface occlusale des aligners transparents Invisalign.
Lorsque le patient occlut, les blocs font avancer la mâchoire et la maintiennent vers l’avant.
Le système avance la position de la mâchoire tout en déplaçant les dents et traite les malocclusions de Classe II, notamment les cas de supraclusion sévère.




Cas d’utilisation clinique
Le système d’avancée mandibulaire Invisalign® avec blocs occlusaux constitue un moyen innovant de traiter les malocclusions de Classe II.
Patient en période de poussée de croissance (de 10 à 16 ans)
Malocclusions rétrognathes de Classe II.
Recouvrement sévère < 7 mm
Critères d’exclusion des patients :
Premières molaires pas entièrement sorties
Toute prémolaire supérieure définitive ou molaire de lait manquante
Toute prémolaire inférieure ou molaire de lait manquante






